公益社団法人
日本小児科学会
Japan Pediatric Society
文字サイズ
小
中
大
会員専用ページへ
HOME
会員・
医療関係者の方
学生・
研修医の方
一般の方
ホーム
学会について
学会について
会長挨拶
会長挨拶
過去の会長挨拶
定款
入会・年会費など
会員登録変更・退会・再入会
組織・名簿一覧
組織・名簿一覧
役員一覧
代議員一覧
委員会一覧
学会組織図
事業計画・予算/事業報告・決算
事業計画・予算/事業報告・決算
事業計画書
予算書類
事業報告書
決算書類
地区代議員会・地区小児科学会・地方会
地区代議員会・地区小児科学会・地方会
地区代議員会
代議員一覧表
地区小児科学会(ブロック別学会)
地方会事務局
日本小児医療保健協議会(四者協)
日本小児医療保健協議会(四者協)
子どもの命を守るために 必ず使おう!!チャイルドシート
日本におけるチャイルドシート普及についての要望書
たばこ自販機撤廃要望書
子どもの周囲は禁煙に!子どもは歩く禁煙マーク!禁煙シンボルマーク普及のお願い
小児科連絡協議会における少子化対策への提言
(仮称)小児保健法に包含すべき内容について
分科会
分科会
分科会一覧
各種リンク
学会の活動
学会の活動
ガイドライン・提言・報告等
学会声明・指針・コラムなど
ガイドライン
学会の考え方・提言・見解等
報告書
傷害速報
リレーコラム キャリアの積み方
はじめの一本(会員専用)
小児医療
予防接種・感染症・領域別情報など
予防接種・感染症
予防接種・感染症
予防接種・感染症情報
学会の考え方・提言・見解等
要望書
新興・再興感染症対策小委員会(旧インフルエンザ対策等ワーキンググループ)
傷害予防・救急
新生児
重症心身障害児(者)・在宅医療
栄養・特殊ミルク
災害対策関係
刊行物
日本小児科学会雑誌・Pediatric Internationalについて
刊行物
日本小児科学会雑誌
日本小児科学会雑誌
オンラインジャーナル開始のご案内
投稿規程
オンライン投稿・査読システム
目次・投稿論文要旨
日本小児科学会雑誌、Pediatrics International投稿論文にかかわる人工知能(AI)技術について
二重投稿・二重出版に関する判断基準と取り扱い
訂正・論文撤回
日本小児科学会雑誌掲載論文カラー画像
PEDIATRICS INTERNATIONAL
PEDIATRICS INTERNATIONAL
オンライン投稿・査読システム/投稿規程
目次・和文抄録
査読者の方々へ
厚生労働省 平成21年度難治性疾患研究班からのReview特集
和文誌/英文誌 優秀査読者賞
雑誌購入案内
小児科用語集
スキルアップコンテンツ
JPSオンラインセミナー・災害関連・乳幼児健診・重症心身障害児(者)関連コンテンツ等
各種委員会
体制づくり
医療提供体制・診療報酬・ダイバーシティ・働き方改革・将来に向けた取り組みなど
医療安全
CDR(チャイルドデスレビュー)
中核・地域登録事業
診療報酬関係
小児慢性疾病・移行支援
働き方改革
成育基本法・健やか親子21
多様性
将来の小児科医へ
開発・相談
小児医薬品開発・供給相談 など
小児医薬品開発相談
その他の取り組み
表彰・調査協力など
調査協力・パブリックコメント等
表彰関係
マスギャザリングに係る救急・災害医療体制を検討する学術連合体
災害対策関係
災害対策
東日本大震災について
大規模災害対策情報システム(PEACE)のリニューアルについて
災害対策委員会
専門医・資格認定
専門医・資格認定
小児科専門医
小児科専門医概要
小児科専門医概要
小児科専門医検索
2020年度小児科専門研修における日本専門医機構との意見交換等の経緯
小児科専門医【新規】
小児科専門医【新規】
第6回(2026年度)小児科専門医試験〔日本専門医機構認定プログラム制〕関係
第19回(2026年度)小児科専門医試験〔旧制度〕関係
小児科専門医【更新】
小児科専門医【更新】
単位取得講演一覧(新制度)
旧制度による更新
専門医にゅ~す/これまでのお知らせ等
専門医にゅ~す/これまでのお知らせ等
新専門医制度に関する対応について(2016年7月24日)
研修施設/基幹施設(指導責任医/プログラム統括責任者)
研修施設/基幹施設(指導責任医/プログラム統括責任者)
(新制度)プログラム統括責任者の方へ
(旧制度)指導責任医の方へ
研修評価
研修評価
小児科専門医更新単位の申請について(主催者の方へ)
小児科専門医更新単位の申請について(主催者の方へ)
(新制度)単位取得講演一覧
(旧制度)研修集会単位数一覧
認定小児科指導医
認定小児科指導医【概要・新規】
認定小児科指導医【更新】
Q&A よくある質問
出生前コンサルト小児科医
学術集会・研修会・講習会
学術集会・研修会・講習会
学術集会
過去大会・次大会情報など
学術集会
それ以降の学術集会予定
過去の学術集会
各種研修会・講習会
各種研修会・講習会(募集中)
研修会・講習会(配信中)
各種研修会・講習会(一覧)
国際学会
IPA・AAP・ASPR・PAS・EAP開催情報 など
イベントカレンダー
学会・他団体主催企画情報をカレンダー形式で表示
講習会・研修会報告
お知らせ
全てのお知らせ
重要なお知らせ
学会の活動
イベント
専門医・認定資格等
他団体から
その他
学会の活動
HOME
日児誌掲載論文画像カラー画像
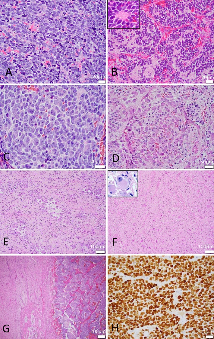
第121巻6号 P987 松野 良介,他 「国際神経芽腫病理分類の解説とその実際」:図2
ホーム
学会について
学会について
会長挨拶
会長挨拶
過去の会長挨拶
定款
入会・年会費など
会員登録変更・退会・再入会
組織・名簿一覧
組織・名簿一覧
役員一覧
代議員一覧
委員会一覧
学会組織図
事業計画・予算/事業報告・決算
事業計画・予算/事業報告・決算
事業計画書
予算書類
事業報告書
決算書類
地区代議員会・地区小児科学会・地方会
地区代議員会・地区小児科学会・地方会
地区代議員会
代議員一覧表
地区小児科学会(ブロック別学会)
地方会事務局
日本小児医療保健協議会(四者協)
日本小児医療保健協議会(四者協)
子どもの命を守るために 必ず使おう!!チャイルドシート
日本におけるチャイルドシート普及についての要望書
たばこ自販機撤廃要望書
子どもの周囲は禁煙に!子どもは歩く禁煙マーク!禁煙シンボルマーク普及のお願い
小児科連絡協議会における少子化対策への提言
(仮称)小児保健法に包含すべき内容について
分科会
分科会
分科会一覧
各種リンク
学会の活動
学会の活動
ガイドライン・提言・報告等
学会声明・指針・コラムなど
ガイドライン
学会の考え方・提言・見解等
報告書
傷害速報
リレーコラム キャリアの積み方
はじめの一本(会員専用)
小児医療
予防接種・感染症・領域別情報など
予防接種・感染症
予防接種・感染症
予防接種・感染症情報
学会の考え方・提言・見解等
要望書
新興・再興感染症対策小委員会(旧インフルエンザ対策等ワーキンググループ)
傷害予防・救急
新生児
重症心身障害児(者)・在宅医療
栄養・特殊ミルク
災害対策関係
刊行物
日本小児科学会雑誌・Pediatric Internationalについて
刊行物
日本小児科学会雑誌
日本小児科学会雑誌
オンラインジャーナル開始のご案内
投稿規程
オンライン投稿・査読システム
目次・投稿論文要旨
日本小児科学会雑誌、Pediatrics International投稿論文にかかわる人工知能(AI)技術について
二重投稿・二重出版に関する判断基準と取り扱い
訂正・論文撤回
日本小児科学会雑誌掲載論文カラー画像
PEDIATRICS INTERNATIONAL
PEDIATRICS INTERNATIONAL
オンライン投稿・査読システム/投稿規程
目次・和文抄録
査読者の方々へ
厚生労働省 平成21年度難治性疾患研究班からのReview特集
和文誌/英文誌 優秀査読者賞
雑誌購入案内
小児科用語集
スキルアップコンテンツ
JPSオンラインセミナー・災害関連・乳幼児健診・重症心身障害児(者)関連コンテンツ等
各種委員会
体制づくり
医療提供体制・診療報酬・ダイバーシティ・働き方改革・将来に向けた取り組みなど
医療安全
CDR(チャイルドデスレビュー)
中核・地域登録事業
診療報酬関係
小児慢性疾病・移行支援
働き方改革
成育基本法・健やか親子21
多様性
将来の小児科医へ
開発・相談
小児医薬品開発・供給相談 など
小児医薬品開発相談
その他の取り組み
表彰・調査協力など
調査協力・パブリックコメント等
表彰関係
マスギャザリングに係る救急・災害医療体制を検討する学術連合体
災害対策関係
災害対策
東日本大震災について
大規模災害対策情報システム(PEACE)のリニューアルについて
災害対策委員会
専門医・資格認定
専門医・資格認定
小児科専門医
小児科専門医概要
小児科専門医概要
小児科専門医検索
2020年度小児科専門研修における日本専門医機構との意見交換等の経緯
小児科専門医【新規】
小児科専門医【新規】
第6回(2026年度)小児科専門医試験〔日本専門医機構認定プログラム制〕関係
第19回(2026年度)小児科専門医試験〔旧制度〕関係
小児科専門医【更新】
小児科専門医【更新】
単位取得講演一覧(新制度)
旧制度による更新
専門医にゅ~す/これまでのお知らせ等
専門医にゅ~す/これまでのお知らせ等
新専門医制度に関する対応について(2016年7月24日)
研修施設/基幹施設(指導責任医/プログラム統括責任者)
研修施設/基幹施設(指導責任医/プログラム統括責任者)
(新制度)プログラム統括責任者の方へ
(旧制度)指導責任医の方へ
研修評価
研修評価
小児科専門医更新単位の申請について(主催者の方へ)
小児科専門医更新単位の申請について(主催者の方へ)
(新制度)単位取得講演一覧
(旧制度)研修集会単位数一覧
認定小児科指導医
認定小児科指導医【概要・新規】
認定小児科指導医【更新】
Q&A よくある質問
出生前コンサルト小児科医
学術集会・研修会・講習会
学術集会・研修会・講習会
学術集会
過去大会・次大会情報など
学術集会
それ以降の学術集会予定
過去の学術集会
各種研修会・講習会
各種研修会・講習会(募集中)
研修会・講習会(配信中)
各種研修会・講習会(一覧)
国際学会
IPA・AAP・ASPR・PAS・EAP開催情報 など
イベントカレンダー
学会・他団体主催企画情報をカレンダー形式で表示
講習会・研修会報告
お知らせ
全てのお知らせ
重要なお知らせ
学会の活動
イベント
専門医・認定資格等
他団体から
その他
第121巻6号 P987 松野 良介,他 「国際神経芽腫病理分類の解説とその実際」:図2
神経・筋
日児誌掲載論文カラー画像
第121巻6号 P987 松野 良介,他 「国際神経芽腫病理分類の解説とその実際」:図2
神経・筋
TOP