日児誌掲載論文カラー画像
日本小児科学会雑誌にモノクロで掲載された図表のうち、著者から希望があった画像をカラーで掲載しています。
- ・第127巻5号 P714~719 上田 雅章,他
「診断に難渋した新生児疥癬」 - ・第125巻11号 P1576 工藤 絵理子,他
「川崎病に準じて治療したCOVID-19関連小児多系統炎症性症候群の年長児例」 - ・第123巻6号 P1009 柏戸 桃子,他
「ミコフェノール酸モフェチルが奏効した総合感冒薬による尿細管間質性腎炎」 - ・第122巻9号 P1453 鈴木 亮平,他
「Ureaplasma感染に伴う肺炎にアジスロマイシンが奏功した新生児2例」 - ・第121巻7号 P1153 松野 良介,他
「神経芽腫腫瘍のリスク分類とPrecision Medicine」
- ・第121巻6号 P987 松野 良介,他
「国際神経芽腫病理分類の解説とその実際」 - ・第119巻12号 P1758 明石 暁子
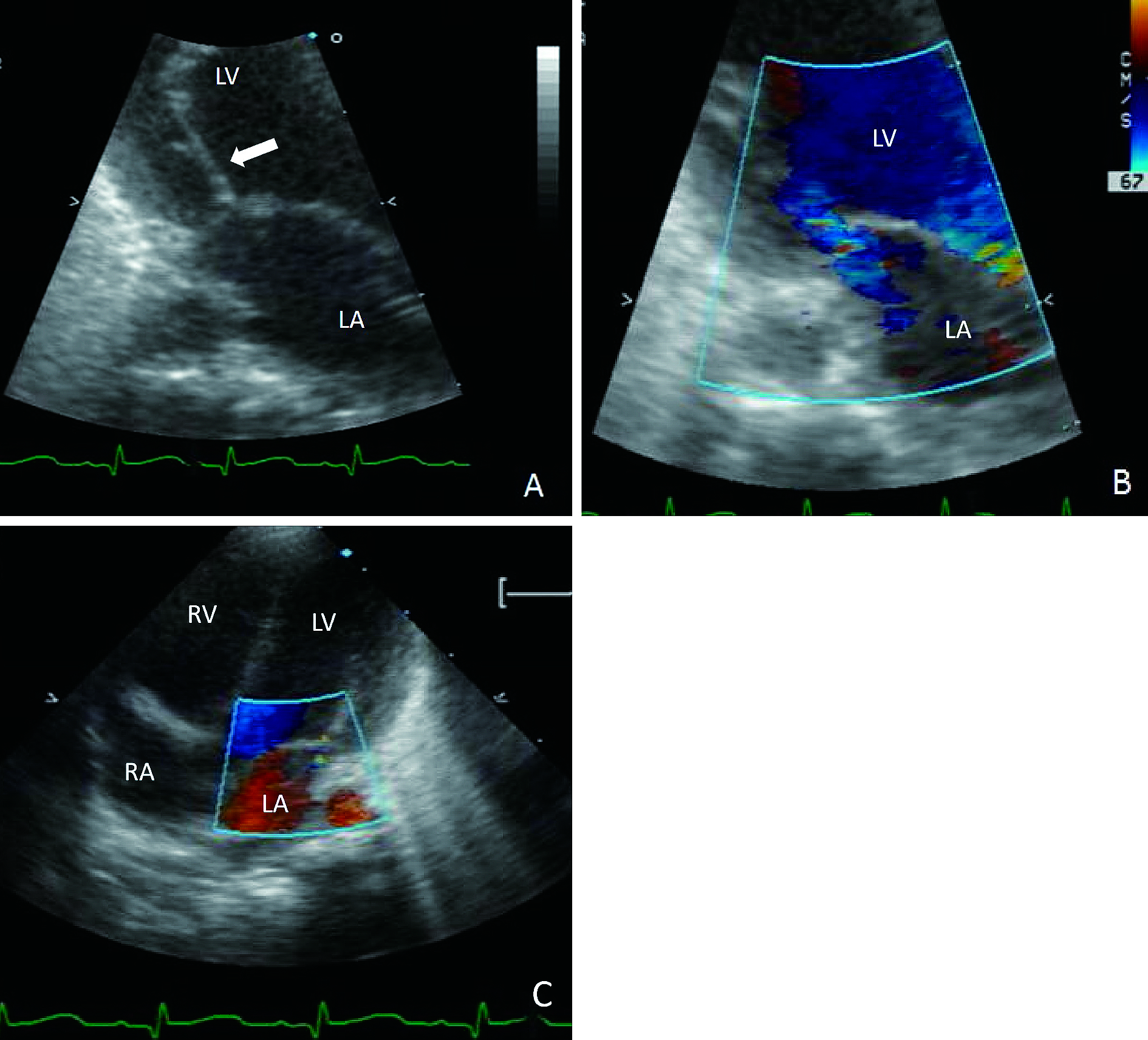
「緊急修復術により救命した乳児突発性憎帽弁腱索断裂例」 - ・第116巻8号 P1223 越智 史博,他
「経母乳的抗原摂取によりアナフィラキシーショックに陥った4か月例」 - ・第113巻5号 P834 梅本 多嘉子,他
「BCG接種後に結核疹を呈した5か月例」 - ・第112巻6号 P991 池谷 真苗,他
「呼吸不全を合併した中毒性表皮壊死症の1例」 - ・第111巻5号 P692 加藤 晋,他
「重症心身障害児(者)の気管軟化症5例の管理経験」

